Организм начинает работать иначе уже в течение первых минут после последней выкуренной сигареты. Вот ряд физиологических изменений, с которыми вы столкнетесь, если решите изменить свою жизнь к лучшему и бросить курить.
Через 20 минут восстанавливается кровообращение
Первые изменения начнутся через 20 минут - улучшается кровообращение и повышается чувствительность пальцев рук и ног.

Через 8 часов выводится окись углерода
Через 8 часов в крови сокращается количество окиси углерода. Это значит, что уровень кислорода в вашей крови снова в норме.

Через 2 дня выводится никотин
После двух дней воздержания от курения организм полностью отчищается от никотина. Вы наконец-то сможете попрощаться с крошечными кристаллами, подталкивающими вас к курению. К сожалению, как только никотин полностью выходит из организма, тяга к курению максимально возрастает.

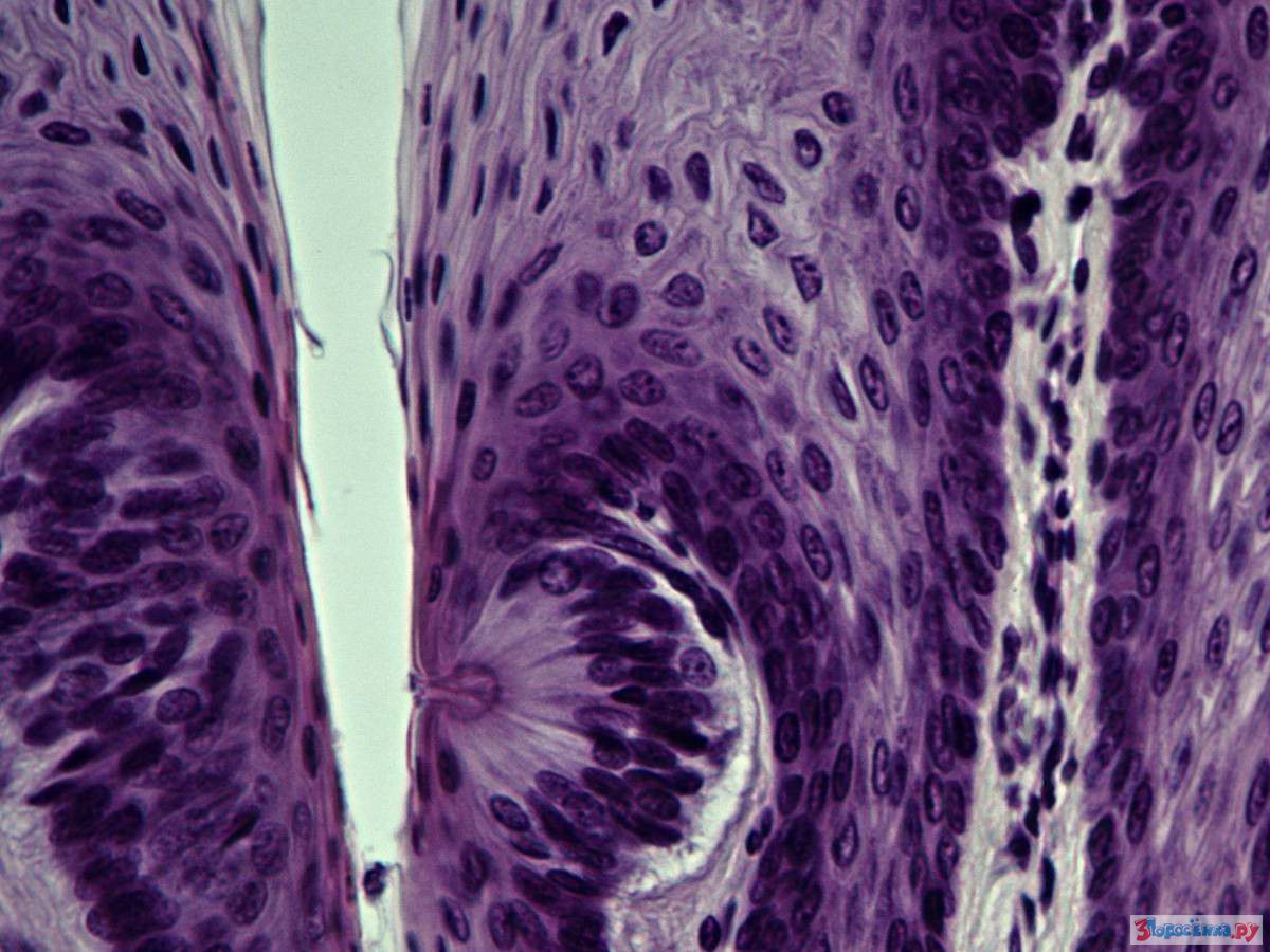
Через 2 дня возвращаются вкусовые ощущения
Спустя два дня после отказа от курения вкусовые рецепторы (изображены ниже в увеличенном виде) начинают нормально функционировать. Вы сможете не только лучше улавливать вкусовые нюансы изысканных блюд, но и станете добавлять меньше специй в привычную еду. Сокращение потребления соли также поспособствует улучшению вашего здоровья.

Через 2 дня возвращается обоняние
Через 2 дня, вы начинаете лучше чувствовать запахи. Теперь идея остановиться и вдохнуть аромат роз покажется вам гораздо более привлекательной.

3 дня спустя восстанавливается дыхание
Через три дня в легких восстанавливается реснитчатый эпителий. Курение уничтожает микроскопические реснички, очищающие дыхательные пути. К счастью, эти реснички могут восстанавливаться.

Через неделю понижается кровяное давление
Кровяное давление начинает снижаться через неделю, что уменьшает риск инсульта, сердечно-сосудистых заболеваний, сердечной и почечной недостаточностей, и стенокардии.

Через две недели ослабевает кашель
Кашель начинает исчезать через две недели, после того как вы бросили курить. Он не исчезает сразу, так как вашим легким нужно время на выведение скопившихся в них вредных веществ. Как только вы бросаете курить ваше тело начинает восстанавливаться и очищаться.

Через 2 недели полностью восстанавливается кровообращение и улучшается качество половой жизни
Спустя 2 недели кровь гораздо лучше поступает к конечностям, что способствует более сильной и долгой эрекции у мужчин.

Через три месяца улучшается тон кожи
Спустя три месяца после отказа от курения выравнивается тон кожи. Никотин ограничивает поступление крови к верхним слоям кожи, что делает её бледной, сухой и способствует её шелушению. Никотин так же стимулирует появлению морщин, т.к. блокирует выработку коллагена.

Через год сходит зубной налёт, и зубы становятся белее
Если за год вы не выкурили ни одной сигареты, исчезают самые яркие признаки курения. Табачный оттенок на пальцах пропадет, а налет на зубах начинает бледнеть. После чистки у стоматолога зубы уже не пожелтеют, а кровообращение в деснах вернется в норму.

15 лет спустя риск рака падает до нормальных показателей
С годами риск быть подверженным различным заболеваниям тоже уменьшается. Так спустя пять лет без курения показатели риска инсульта возвращаются в норму, а через 15 лет вероятность возникновения раковых заболеваний у бывшего курильщика становится такой же, как и у человека некурящего.